Chronic Inflammation on the Right Side of the Maxilla
Case Challenge Number: 2
Diagnostic Information
Preoperative Periapical Radiographs These periapical radiographs were taken prior to the third surgery. The second premolar is missing and there is an osteolytic lesion between the first molar and the first premolar. The lesion seems to be well demarcated with a partial radiopaque outline.
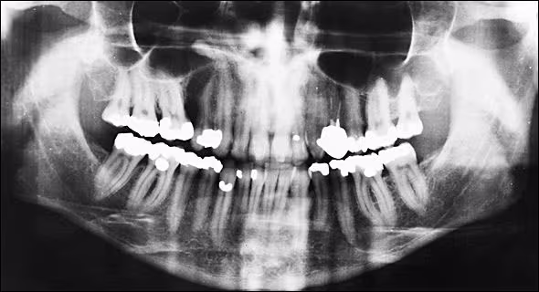
Preoperative Panoramic Radiograph This panoramic radiograph was taken prior to the third surgery. The osteolytic lesion between the maxillary right first molar and first premolar is not confined to the alveolar process but encroaches upon the maxillary sinus. A homogeneously radiopaque structure seems to be associated with the lesion.
Preoperative Tomogram of the Affected Area This frontal tomogram through the center of the lesion was one of several tomograms taken prior to the third surgery. It shows a pear-shaped radiolucent lesion located in the infero-medial part of the right maxillary sinus. A bony wall separates the lesion from the sinus and the nasal cavity. The radiopaque structure observed in the panoramic radiograph looks like a tooth or part of a tooth. It seems to be totally enveloped by the borders of the radiolucent lesion
.




