The Case of the Hemorrhagic Gingival Mass
Case Challenge Number: 6
Diagnostic Information
Clinical Findings Clinical examination revealed a non-tender, bright-red pedunculated mass which arose from the buccal interdental papilla between teeth #19 and #20. (Figure 1) The mass tended to bleed easily upon manipulation. Generalized marginal gingivitis was seen throughout the mouth.
Figure 1. Buccal view of lesion.
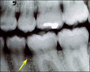
Bitewing Radiograph
A bitewing radiograph revealed slight bone loss at the crest of the alveolar bone between #19 and #20. (Figure 2) However, no obvious intrabony lesion was observed.
Figure 2. Bitewing radiograph showing only slight alveolar bone bone loss between #19 and #20.
Additional Clinical History
During the review of the patient’s medical history, she stated she currently was five months pregnant.
Photomicrographs
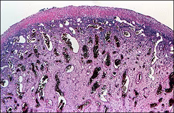
Because the large size of the lesion was creating problems with eating and speaking, it was decided to excise the mass and submit it to the Oral Pathology Laboratory. Microscopic examination showed an ulcerated mass of granulation tissue that was covered by a thick fibrinopurulent membrane. (Figure 3)
Figure 3. Low-power photomicrograph showing a mass of highly vascular granulation tissue. The epithelial surface is ulcerated and replaced by a fibrinopurulent membrane.
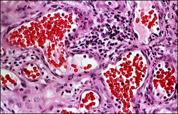
This tissue was characterized by numerous capillaries which were engorged with red blood cells. (Figure 4)
Figure 4. Medium-power photomicrograph showing dilated blood vessels engorged with red blood cells.
There was an associated mixed inflammatory infiltrate which included polymorphonuclear leukocytes, lymphocytes, and plasma cells. (Figure 5)
Figure 5. High-power photomicrograph showing capillaries with adjacent polymorphonuclear leukocytes, lymphocytes and plasma cells.






