Persistent Painful Ulcer of the Posterior Lingual Mandibular Mucosa
Case Challenge Number: 13
Diagnostic Information
Clinical Findings A well-defined raised ulcer with a gray-white base, measuring about 7 mm by 3 mm, was evident on the left posterior lingual mandibular mucosa above the mylohyoid ridge. (Figure 1) Gentle manipulation of the ulcer base with a periodontal probe revealed the floor of the ulcer was hard, insensitive, and slightly mobile.
Figure 1. Ulcer with gray-white base involving posterior left lingual mandibular mucosa.
Figure 2. Buccal exostoses involving left maxilla.
The teeth tested vital, and there was no evidence of periodontal involvement. The left second mandibular molar showed mild buccal inclination when compared to the first molar; the second molar also showed a prominent wear facet on the distal aspect of the occlusal surface. Other findings included buccal exostoses that were evident on the left maxillary alveolar bone (Figure 2) and to a lesser extent on the right maxilla (not shown). There was a mild left submandibular lymphadenopathy when compared to the right side.
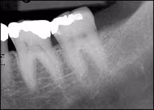
Radiographic Findings
A periapical film of the left mandibular molars adjacent to the ulcer was not contributory. (Figure 3) An occlusal film showed a localized opacity contiguous to the lingual mandible in the area of the ulcer. (Figure 4)
Figure 3. Periapical film of left posterior mandible; no bone anomalies are evident.
Figure 4. Occlusal film of the same region shown in Figure 3 shows a distinct lingual opacity (arrow).
Pathological Findings
The edge of the ulcer base was gently explored with a spoon curette. It was possible to find an edge under the hard base that could be engaged with the curette. Using minimal pressure, a hard irregular fragment (Figure 5) was lifted through the ulcer.
Figure 5. Irregular fragment removed through ulcer floor.
Figure 6. Microscopic view of a cross-section of the fragment after decalcification. There is a non-vital piece of bone showing irregular resorption, granulation tissue (arrows), and acute inflammatory cells.
Microscopic examination showed this hard fragment was non-vital bone (with irregular zones of resorption involving the deep aspect. (Figure 6) Fragments of acutely inflamed granulation tissue adhered to the bone.
Incisional Biopsy and Microscopic Findings
Due to the significant size of the lesion, an initial incisional biopsy was performed under local anesthesia and conscious sedation in order to establish a definitive diagnosis. Unfortunately, the initial biopsy was inconclusive and the patient was referred to Eisenhower Army Medical Center, Ft. Gordon, GA, for an additional biopsy and treatment. During that procedure, abundant gelatinous material was obtained and the specimen was submitted in formalin for routine histopathologic examination. The gross specimen consisted of three fragments of soft tissue, which ranged from 1.5 x 1.5 x 0.4 cm to 0.6 x 0.4 x 0.3 cm.
The low power photomicrograph displayed variably dense fibrocollagenous connective tissue along the edge. The lesion itself dominated the image and was characterized by loose myxoid fibrocollagenous connective tissue that was hypocellular. (Figure 7) The medium power photomicrograph displayed loose and myxoid fibrous connective tissue with some small vascular channels interspersed as well as some extravasated erythrocytes. The nuclei were spindle-shaped to stellate and evenly dispersed throughout the specimen. Although the nuclei were somewhat hyperchromatic, they were uniform in appearance and without evidence of mitotic activity. (Figure 8) The high power photomicrograph showed similar findings. (Figure 9)
Figure 7. Medial view of the mandible showing prominence of the mylohyoid ridges (arrows).
Figure 8. An occlusal view of the same mandible in Figure 7 showing the lingual inclination of the posterior molars (arrows) over the mylohyoid ridges.
Figure 9. High power photomicrograph showing uniform nuclei within the myxoid stroma. These nuclei are spindle-shaped to stellate and evenly distributed across the field. (Hematoxylin and eosin, original magnification 400x).










