Recurrent Left Mandibular Enlargement
Case Challenge Number: 16
Diagnostic Information
Chief Complaint
The patient’s chief complaint was the facial disfigurement and pain produced by the enlargement in the left mandibular area. She also complained of some difficulty swallowing along with mobility and displacement (supereruption) of the mandibular left first molar tooth (#19). (Figures 1-3)
Figure 1. Facial view demonstrates enlargement of the left mandibular body and angle area of the mandible. The enlargement extends into the submandibular region as well.
Figure 2. Profile view of the left face reveals involvement of the angle area by the lesion.
Figure 3. Viewing of the lesion from the submental region shows the involvement of the submandibular area as well as the extent of the buccal expansion.
Past Medical History
Other than the facial deformity, the patient was in good general health with no significant medical problems. She had two normal full-term pregnancies, giving birth to a single child in 1999 and twins in 2000. She was pregnant, in the first trimester, with her fourth child at the time of her presentation in February 2002.
She denied any known allergies. She was taking no medication other than prenatal vitamins. A review of systems on physical examination was entirely negative.
History of Present Illness
The patient had been seen in early January 1994 for evaluation of intraoral enlargement of the left mandible in the same general location as the current lesion, although no extraoral involvement was noted as in the February 2002 presentation. Radiographic evaluation at that time (Figure 4) had revealed a “cystic” lesion measuring 3.5 by 3.0 cm associated with an impacted mandibular left third molar (#17).
Figure 4. Panoramic radiograph from January 1994 showing impacted #17 and associated radiolucent lesion with a somewhat scalloped, corticated border.
Tooth #17 and the lesion were removed by another clinician and the defect packed with bovine hemostatic collagen. Following histopathologic diagnosis, it was decided to follow the lesion closely. The patient returned for follow-up in March 1994, two months after the surgery, at which time a panoramic radiograph “looked good.” The next recall was scheduled for June 1994, but the patient failed to return at that time and was lost to follow-up.
The patient first presented to us for evaluation in early February 2002, nearly 8 years following her last visit with the previous clinician. She reported that she had been unaware of any problems in this area until approximately 2 years previously when some extraoral swelling first became evident. At about this same time, however, her husband lost his job due to a disabling injury and she delayed seeking treatment due to financial concerns.
For the last two years she had been having steadily increasing pain in the area of the mandibular enlargement. She had managed this pain by compressing the lateral portion of the mandible until it “burst.” She had been doing this with increasing frequency, and she now had to perform this decompression twice a week.
Clinical Examination
Clinical examination revealed diffuse enlargement of the left body of the mandible, extending into the retromolar region and involving the entire alveolar ridge area. While there was some mild expansion lingually, most of the expansion was toward the buccal aspect, partially obliterating the mucobuccal vestibule. (Figure 5) The mucosa overlying the alveolar ridge was intact. The maxillary molar teeth were occluding on the elevated and expanded mandibular alveolar ridge mucosa, producing some visible indentation of the mucosa corresponding to the maxillary molar cusp tips. (Figure 6) Palpation of the mass revealed crepitus along the alveolus around teeth #19 and #20. Distant to these teeth, the mass was “woody” on palpation.
Figure 5. Intraoral view shows expansion of the left mandibular alveolar process in April 2002. Note the buccal expansion obliterating the vestibule in this area. Slight superior displacement of the mandibular left second premolar can also be seen. Tooth #19 has already been extracted and a biopsy sample obtained at the time of this photograph.
Figure 6. Intraoral view of the left mandibular alveolar ridge in April 2002, following biopsy and extraction of #19. Marked buccal expansion but only minimal lingual enlargement is evident. Soft tissue indentations on the crest of the ridge from occlusion of the maxillary second molar can be seen posteriorly.
Of note, the mandibular left second molar (#18) was found to be missing on presentation to our service. This tooth had been present at the time of the initial surgery in 1994. When questioned about tooth #18, the patient reported it was extracted at about the time the swelling reappeared in 2000. Mobility of the tooth was cited as the reason for the extraction. The recurrent swelling was noted by that practitioner but she reported being told, “it was a benign lesion and not to worry about it.”
Radiographic Findings
A panoramic radiograph revealed a markedly expansile, multilocular radiolucent lesion of the left mandible. The borders of the lesion were well defined and, despite the multilocular appearance, it maintained a roughly symmetrical growth pattern. The lesion extended anteriorly to the mandibular left first premolar. Posteriorly, it appeared to extend upward into the ramus slightly and obliterated the normal architecture of the angle. Significant buccal expansion was present, but there appeared to be an intact rim of cortical bone covering the expanded buccal cortex. Superior expansion of the alveolar ridge was also noted. Slight superior displacement of the first molar and second premolar was observed. Distal root resorption of the first molar was also present. Internally, the radiolucent lesion showed numerous bony septations, compartmentalizing the lesion into varying sized locules. (Figure 7)
Figure 7. Panoramic radiograph of January 2002 reveals a markedly expansile, multilocular radiolucent lesion of the left mandible and distal root resorption of the first molar.
A lateral cephalometric radiograph (Figure 8) showed essentially the same features. The uninvolved right inferior border of the mandible could be easily visualized through the destructive radiolucent lesion in the left mandible. The lower border of the left mandible appeared to be bowed inferiorly by the expanding mass, a feature that was not as clearly appreciated in the panoramic film. A very thin but intact layer of cortical bone appeared to be present covering this expansion of the inferior border.
A posterior-anterior exposure of the mandible revealed the extent of the buccal expansion, but added little additional information. (Figure 9)
Figure 8. Lateral cephalometric radiograph demonstrates the inferior expansion of the mass in the left mandible, producing the submandibular extension seen clinically. The radiolucent destruction of the left mandible allows clear visualization of the right mandible through the lesion.
Figure 9. Posterior-anterior cephalometric radiograph of the mandible documents the extent of the buccal expansion.
Treatment Plan
Due to the extent of the surgery anticipated to adequately treat the clinical lesion and the possible untoward effects of such surgery on a developing fetus, the treatment plan called for delaying definitive therapy until the post-partum period. Tooth #19 was extracted in April 2002, due to its mobility and superior displacement. At the time of extraction, portions of the lesion were curetted in order to harvest tissue for microscopic examination and verify the provisional diagnosis. Where possible, disruption of the multiple cystic spaces was attempted during the curettage to facilitate decompression of the lesion. The lesion was packed open in an attempt to control re-accumulation of fluid that was deemed responsible for the patient's pain and increasing lesional size.
The patient returned for follow-up approximately one month later. An estimated 20% reduction in tumor size was noted clinically with less subjective complaints of compressive pressure, pain, and dysphagia. The lesion was re-packed in an attempt to buy time until delivery of the child. By the time of delivery, however, the attempt at decompression of the lesion was failing and most of the earlier reduction in tumor size had recurred. Two months following delivery, allowing sufficient time for the patient to wean the newborn, a hemimandibulectomy was performed.
Histopathologic Findings
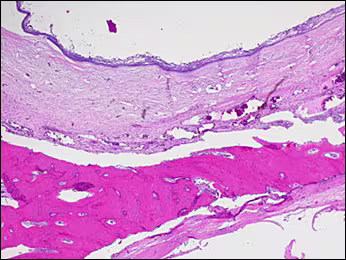
Histologic examination revealed curetted fragments of a hard and soft tissue specimen with the architecture of a cyst. The lumen of the cyst was lined by epithelium and was supported by an underlying connective tissue wall of fairly uniform thickness. In many areas, a rim of trabecular bone encased the cystic lesion. (Figure 10)
Figure 10. The lumen of the cyst was lined by epithelium and was supported by an underlying connective tissue wall of fairly uniform thickness. In many areas, a rim of trabecular bone encased the cystic lesion.
The epithelial lining showed a prominent, hyperchromatic basal cell layer composed of tall columnar cells with palisaded nuclei. The underlying connective tissue of the cyst wall was well vascularized. (Figure 11)
Figure 11. The epithelial lining showed a prominent, hyperchromatic basal cell layer composed of tall columnar cells with palisaded nuclei.
On higher magnification, the epithelial lining exhibited reverse polarity of the nuclei in the basal cell layer with subnuclear vacuole formation. An irregular, thin layer of parakeratin was present on the luminal surface. A narrow band of acellular, hyalinized collagen was present immediately beneath the epithelium in the underlying connective tissue wall, suggesting an inductive effect by the odontogenic epithelium. (Figure 12)
Figure 12. On higher magnification the epithelial lining exhibited reverse polarity of the nuclei in the basal cell layer with subnuclear vacuole formation.
In one area, the lining epithelium became proliferative, producing an intraluminal nodule with a plexiform growth pattern. However, no intramural growth of the epithelium was noted in this area. (Figure 13)
Figure 13. The lining epithelium became proliferative, producing an intraluminal nodule with a plexiform growth pattern. It was noted that there was no intramural growth of the epithelium in this area.
In other areas of the specimen, proliferating epithelium was seen within the connective tissue of the cyst wall, beneath the lining epithelium intramurally. This epithelium was growing in irregularly-shaped islands and elongated cords with the same notable peripheral layer of darkly staining columnar cells. (Figure 14) While some of the islands showed cystic areas in the center, most were solid and the central cells showed features of stellate reticulum. (Figure 15)
Figure 14. In other areas of the specimen, proliferating epithelium was seen within the connective tissue of the cyst wall, beneath the lining epithelium intramurally.
Figure 15. While some of the islands showed cystic areas in the center, most were solid and the central cells showed features of stellate reticulum.
On high power magnification, reverse polarity of the nuclei with subnuclear vacuole formation could be seen in these infiltrating epithelial islands. (Figures 16 and 17)
Figure 16. On high power magnification, reverse polarity of the nuclei with subnuclear vacuole formation could be seen in these infiltrating epithelial islands.
Figure 17. Higher magnification of Figure 16 allows clear visualization of reverse polarity and subnuclear vacuole formation.
Still other areas of the specimen showed obvious extension of the proliferating epithelium into the surrounding bone. (Figure 18) In addition, the tumor had apparently broken through the bony cortex and was expanding into the soft tissues of the alveolar ridge. (Figure 19)
Figure 18. Additional areas of the specimen showed obvious extension of the proliferating epithelium into the surrounding bone.
Figure 19. Tumor had apparently broken through the bony cortex and was expanding into the soft tissues of the alveolar ridge.




















