Expansile Mass of the Left Maxilla
Case Challenge Number: 22
Diagnostic Information
History of Present Illness
The patient had noticed a “bump” involving the left maxillary buccal alveolar process approximately 6 weeks earlier. The mass progressively enlarged in size to cause a mild degree of facial asymmetry. Dull pain, pressure, and discomfort gradually developed over the past four weeks.
Past Medical History
The patient’s medical history was essentially unremarkable. She complained of sensitivity to aspirin and tobacco smoke. Her current medications included Prozac (fluoxetine), 10 mg daily, to relieve post-partum depression and hydroxyzine, 10 mg every other day, to relieve itching caused by allergies. There was no history of trauma to the area and no recent dental treatment, other than placement of routine amalgam restorations in the affected quadrant.
Clinical Examination Findings
Extraoral examination showed mild facial asymmetry with subtle swelling of the left zygomatic region. Intraorally a prominent bony-hard, non-tender expansion of the left zygoma and maxillary alveolar process was evident measuring approximately 3 x 4 cm. There was no associated color change or ulceration. In addition a mild degree of bony expansion of the left posterior hard palate was noted. (Figure 1)
Figure 1. Expansile mass involving the left maxillary vestibule.
Radiographic Findings
The panoramic radiograph revealed a poorly defined lesion with a predominantly radiodense internal structure of the left posterior maxilla and antrum. (Figure 2) A periapical film showed an intact sinus floor anteriorly in the region of the premolars. However, irregular bone loss was seen around the mesial root of the first permanent molar and the second premolar with loss of lamina dura and significant widening of the periodontal ligament space in the middle and apical third of the roots. (Figure 3)
Figure 2. A poorly defined predominantly radiopaque mass in the left posterior maxilla.
Figure 3. Loss of lamina dura and irregular widening of the periodontal ligament space.
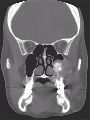
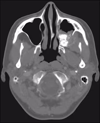
Advanced radiographic imaging using CT scans showed a mass of the left posterior maxilla extending into the maxillary sinus. Considerable expansion of the buccal and moderate expansion of the palatal cortical plate was evident. As noted in the coronal (Figure 4) as well as axial views (Figure 5), the lateral nasal wall was involved but expansion into the nasal cavity was not seen. The internal structure showed patchy calcified areas of varying density and irregular distribution.
There was an associated mixed inflammatory infiltrate which included polymorphonuclear leukocytes, lymphocytes, and plasma cells. (Figure 5)
Figure 4. CT scan, coronal section showing mass of left maxilla involving the sinus. Buccal and palatal cortical plate expansion is also seen. Irregular, patchy distribution of calcified material is seen within the lesion.
Figure 5. CT scan, axial section showing involvement of the lateral nasal wall with minimal expansion into the nasal cavity, although the posterior aspect of the maxillary sinus is filled with the lesional tissue.
Histopathologic Findings
Histopathologic examination of the biopsy specimen showed a mesenchymal neoplasm characterized by atypical spindled and angular cells that were associated with osteoid production in areas. (Figure 6) Tumor osteoid formation with varying degrees of calcification was seen. The neoplastic cells were relatively pleomorphic and exhibited a high nuclear/cytoplasmic ratio with hyperchromatic nuclei. Multinucleated tumor giant cells were also seen focally. (Figure 7).
Figure 6. Cellular areas alternated with zones of osteoid formation, myxoid change, and necrosis. (Hematoxylin and eosin, magnification 10x.)
Figure 7. Stellate, spindle-shaped, and round to oval tumor cells show enlarged and hyperchromatic nuclei. Scattered multinucleated tumor giant cells are also seen. (Hematoxylin and eosin, magnification 25x)








