A Unilocular Radiolucency of the Anterior Maxilla
Case Challenge Number: 29
Diagnostic Information
Oral Findings
On clinical examination, slight labial cortical bone expansion was palpable overlying the lesion. Pulp testing indicated all teeth in the area were vital. Radiographic Findings A periapical radiograph revealed a well-circumscribed, round, 1 x 1 cm radiolucency between the roots of the maxillary right canine and lateral incisor (Figure 1). The lesion exhibited a sclerotic border, and no obvious central calcifications could be identified.
Figure 1. A well-circumscribed unilocular radiolucency between the roots of the maxillary right canine and lateral incisor.
Excisional Biopsy and Photomicrographs A biopsy of the mass was performed under local anesthesia. After reflection of a buccal flap, the cortical plate appeared slightly expanded and thinned. The cortical bone was removed, and a solid soft tissue mass was easily curetted from the bony cavity. Multiple irregular fragments of soft tissue were submitted for microscopic examination.
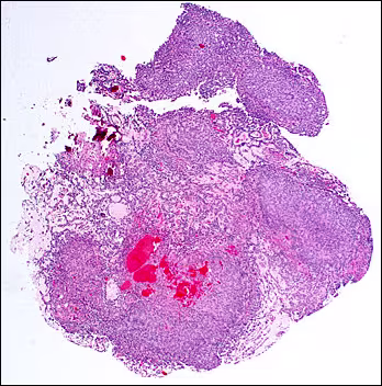
The tissue sections showed an epithelial proliferation exhibiting a variable microscopic pattern. At low power, the lesion showed solid, nodular masses of basophilic cells intermixed with less cellular areas (Figures 2 and 3).
Figure 2. Low-power scanning photomicrograph of one portion of the lesion showing nodular groups of basophilic cells (Hematoxylin and eosin stain).
Figure 3. Medium-power photomicrograph showing nodular groups of epithelial cells intermixed with looser ribbon-like strands (Hematoxylin and eosin stain).
The epithelium in the solid zones consisted of small, tightly packed polygonal to spindle-shaped cells. The less cellular areas were characterized by ribbon-like cords of basophilic cells with little background stroma.
A characteristic finding in the solid zones was the presence of occasional duct-like structures lined by a row of cuboidal to columnar epithelial cells (Figures 4 and 5).
Figure 4.Medium-power photomicrograph showing a duct-like structure in the upper left corner of the image (Hematoxylin and eosin stain).
Figure 5. High-power photomicrograph showing multiple small duct-like structures surrounded by cuboidal epithelial cells (arrows) (Hematoxylin and eosin stain).
In addition, focal dystrophic calcifications were present, sometimes being found in association with slightly larger, eosinophilic cells exhibiting a squamoid appearance (Figure 6).
Figure 6. Medium-power photomicrograph showing small dystrophic calcifications in association with squamoid cells (Hematoxylin and eosin stain).







