A Pigmented Lesion of the Mandibular Facial Gingiva
CASE CHALLENGE NUMBER: 35
Carl M Allen, DMD, MSD; John R Kalmar, DMD, PhD; Molly Rosebush, DDS
SHARE
The following Case Challenge is provided in conjunction with the American Academy of Oral and Maxillofacial Pathology.
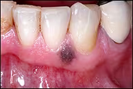
A 55-year-old white male was referred by his dermatologist for evaluation of an asymptomatic dark brown lesion on the mandibular facial attached gingiva.
After you have finished reviewing the available diagnostic information, make the diagnosis.


