A Non-expansile Radiolucency of the Posterior Mandible
CASE CHALLENGE NUMBER: 44
James W Rokos, DDS; Ricardo J. Padilla, DDS
SHARE
The following Case Challenge is provided in conjunction with the American Academy of Oral and Maxillofacial Pathology.
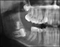
A 14-year-old Caucasian female was referred by her orthodontist with a non-expansile radiolucent lesion associated with impacted tooth #31.
After you have finished reviewing the available diagnostic information, make the diagnosis.


