Bilateral Multi-locular Radiolucent Lesions of the Mandible
Case Challenge Number: 45
Diagnostic Information
History of Present Illness
The patient had initially presented to his pediatric dentist for a routine exam three years previously. On radiographic examination, the pediatric dentist noticed areas of somewhat diffuse radiolucency bilaterally in the ascending rami of the mandible.
The lesion in the right ramus was more clearly visualized than the lesion in the left ramus. The pediatric dentist referred the patient to an oral and maxillofacial surgeon for evaluation and management. The oral surgeon made a provisional clinical diagnosis, and the patient was placed on recall to observe his development and monitor the areas of concern with serial panoramic radiographs. The patient was seen periodically over the subsequent three years.
Medical History
The past medical history was unremarkable. A review of systems revealed no other abnormalities.
Family History
No family history of similar problems was found in either parent. Siblings did not appear to be affected.
Clinical Findings
Recently, there appeared to have been some enlargement of the soft tissues overlying the posterior mandible, producing “chubby cheeks.”
Radiographic Findings
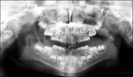
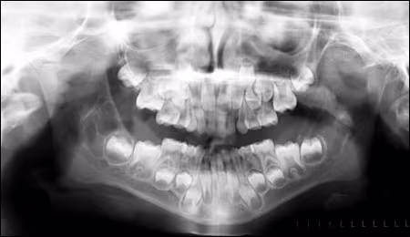
The initial radiographic survey from three years earlier is seen in Figure 1.
Figure 1. Panoramic radiograph taken in December 2004. The lesions are already present bilaterally at this time.
The lucent area in the right mandibular ramus was clearly visualized with a multilocular appearance. The lesion in the left ramus was somewhat diffuse and more difficult to localize.
Follow-up three months later (Figure 2) demonstrated the lesions to be fairly stable with perhaps slight enlargement of the lesion on the right.
Figure 2. Panoramic radiograph taken three months following Figure 1 in March 2005
Six months later (Figure 3) the lesion on the right side appeared stable, but the lesion in the left ramus area was now becoming more clearly defined with a multilocular pattern.
Figure 3. Panoramic radiograph taken in September 2005.
Eleven months later (1 year and 8 months after initial presentation) both lesions appeared to have enlarged (Figure 4). The lesion on the left side was now larger than the right and had begun to produce expansion of the anterior border of the ascending ramus and had extended into the coronoid process.
Figure 4. Panoramic radiographic taken in August 2006.
Additional follow-up eight months later (2 years 4 months from initial presentation) demonstrated further enlargement of the lesion on the right side with what was interpreted to be early extension into the coronoid region (Figure 5).
Figure 5. Panoramic radiograph taken in April 2007.
The current radiograph (Figure 6), three years from first discovery, showed continued enlargement with an almost bilaterally symmetrical appearance to the lesions.
Figure 6. Panoramic radiograph demonstrating bilateral multilocular lesions involving the body, angle, and ramus areas of the mandible at the most recent evaluation of the patient in December 2007.
Surgical Findings
At surgery, expansion of the cortices of the ascending rami was noted bilaterally. Tissue removed for biopsy was fibrous to gelatinous in its texture but somewhat friable and contained a speckled, whitish material.
Biopsy Findings
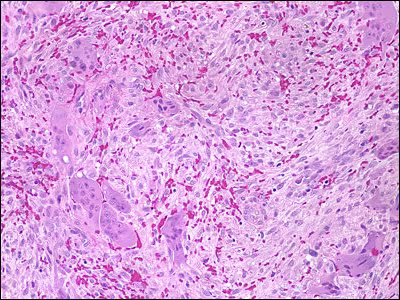
Microscopic examination revealed fragmented specimens composed predominantly of soft tissue. Small spicules of vital bone were scattered within the tissue and likely represented the speckled white material seen at surgery. The soft tissue consisted of a background stroma of proliferating spindle-shaped fibroblastic appearing cells (Figure 7).
Embedded within the stroma, scattered multinucleated giant cells were appreciated (Figures 7 and 8).
Figure 7. Histologic features demonstrating fibrous connective tissue stroma with proliferating spindle-shaped cells and focal aggregates of multinucleated giant cells (10x).
Figure 8. Histologic features demonstrating focal aggregates of multinucleated giant cells (20x).
The giant cells were seen multifocally rather than evenly dispersed throughout the background stroma. Of particular note, blood vessels within the stroma showed a prominent condensation and hyalinization of the peripheral collagen (Figure 9)
Figure 9. Histologic features demonstrating perivascular eosinophilic condensation and hyalinization (20x).










