A Nonulcerated, Slowly Growing Mass of the Mandible
CASE CHALLENGE NUMBER: 47
Renee Reich, DDS; Siema A Eljack, DMD
SHARE
The following Case Challenge is provided in conjunction with the American Academy of Oral and Maxillofacial Pathology.
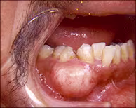
A 38-year-old male presented with a slowly growing mass of the right mandible. The lesion displaced the mandibular canine and premolar teeth on the same side.
After you have finished reviewing the available diagnostic information, make the diagnosis.


