Periapical Lesion Involving a Mandibular Incisor Tooth
CASE CHALLENGE NUMBER: 73
Anne Cale Jones, DDS; H. Stan McGuff, DDS; Michaell A. Huber, DDS
SHARE
The following Case Challenge is provided in conjunction with the American Academy of Oral and Maxillofacial Pathology.
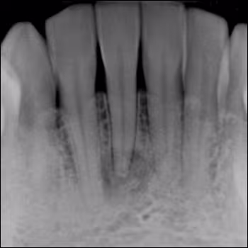
A 43-year-old African American female presents with a periapical lesion involving a mandibular incisor tooth.
After you have finished reviewing the available diagnostic information, make the diagnosis.


