The Intraoral and Extraoral Exam
Course Number: 337
Course Contents
Hard Palate
The hard palate and maxillary tuberosity areas are examined using both direct and indirect vision and illumination. Following the visual examination the clinician should digitally palpate the entire area using firm non-sliding pressure against the bone (Figure 27).
Figure 27. Palpating the hard palate.
Use firm pressure and try not to slide the fingers along the tissue.
In general, the tissue is a homogenous pale pink color, firm to palpation towards the anterior and lateral to the midline while more compressible towards the posterior and medial to the apices of the teeth. The normal structures of the hard palate should be identified:
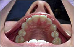
Incisive papilla – protuberance of soft tissue lingual to the maxillary central incisors which covers the incisive foramen and normally appears redder than the surrounding tissues (Figure 28)
Raphe – slightly elevated line extending from the incisive papilla to the soft palate (Figure 28)
Rugae – corrugated ridges radiating laterally from the raphe (Figure 28)
Figure 28. Normal structures of the anterior hard palate.
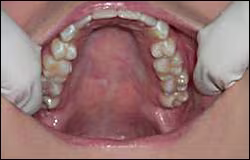
Vault – relates to the depth and width of the palate (Figure 29)
Figure 29. Normal structures of the posterior hard palate.
Observe the dimensions (height and width) of the vault.
Maxillary tuberosities – area distal to the last molars (Figure 30), the tissue should be a homogenous pink color and firm to palpation
Figure 30. Normal maxillary tuberosity.
The torus palatinus is the most common atypical finding in the hard palate. These tori may range in size from very small to very large. They present as single or multilobular masses (Figure 31) and usually have a smooth surface texture. Often the larger tori will have traumatic ulcers or other traumatic lesions on their surfaces.
Figure 31. Extreme example of a multilobulated torus palatinus.
Tori are not usually considered a problem unless prosthetic appliances are being considered. Tori also make it difficult to expose intraoral radiographic films. Pathologic findings include:
Pigmented macules – pigmented lesions of any type should be identified to rule out melanoma. The palate is also a common area for unintentional tattoos resulting from pencil leads being jabbed into the tissues while playing with a pencil or holding it in the mouth.
Thermal burns – the anterior palate is the most common area for this type of traumatic injury
Nicotine stomatitis – whitening and fissuring of the attached gingiva of the hard palate and inflammation of the minor salivary gland ducts
Papillary hyperplasia – development of finger-like projections usually under a poorly fitting full or partial denture
Other traumatic lesions – abrasions and lacerations resulting from eating and factitial injuries
Systemic related lesions – lesions related to lupus are commonly found in the palate and the palate is a prime location for the blue nevus






