Choosing a Toothpaste: What’s the Big Deal?
Course Number: 565
Course Contents
Tartar Control
Everyone forms dental plaque, and half to almost 100% of adults also are prone to supragingival dental calculus.124,125 Where dental calculus forms and in what quantities differs from person-to-person, with certain regions (buccal surfaces of the maxillary molars and the lingual surfaces of the mandibular anterior teeth) universally being the most susceptible to build-up.126 Tartar formation is the result of salivary calcium and phosphate absorption in plaque, followed by a crystallization process, and ultimately the formation of hardened crystalline matrix-like mineral/microorganism aggregates.126,127 These tenacious accretions can be removed only by a professional prophylaxis and not by the patient.
Dental calculus might be viewed as a hybrid between a therapeutic issue and a cosmetic complaint. As an oral health concern, its presence at the gumline has the potential to physically impede thorough oral hygiene. In addition, mature tartar’s porous structure may indirectly contribute to gingival disease, in that it can act as a trap for additional dental plaque accumulation adjacent to the gingiva where gram-negative pathogens can proliferate.125,126 When patients think of calculus, however, it’s likely because they’ve noticed the yellowish, unattractive deposits. Tartar deposits readily harbor extrinsic stains, often leading to a cosmetically unpleasing result even on facial surfaces if not prevented or removed. While prophylaxis can remove unsightly calculus, it will begin to form again and reach pre-prophylaxis levels without some type of intervention. Heavy and widespread calculus can necessitate multiple professional scaling sessions, which is often objectionable to the patient.
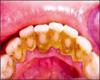
Figure 10. Stages of Teeth Tartar Formation.
Slight Dental Calculus
Moderate Dental Calculus
Heavy Dental Calculus
Heavy Dental Calculus
Figure 10. Stages of Teeth Tartar Formation.
Fortunately, scientific progress with dentifrice formulation yielded a convenient and clinically proven strategy for dental calculus mitigation: "tartar control" toothpastes. The abrasive systems in toothpaste help to prevent stain accumulation and remove plaque to preventing calculus, however advances in chemistry allow the introduction of new ingredients. The intent of these products is to prevent or slow the crystallization of plaque with anti-calculus ingredients like zinc salts, pyrophosphate, and sodium hexametaphosphate.
Zinc salts inhibit crystal formation when included in dentifrices, and have been found to significantly reduce and even prevent calculus formation compared to regular dentifrice in clinical trials.126,128,129 Zinc citrate is the anti-calculus agent in 0.454% SnF2 multi-benefit toothpastes like Crest ProHealth Clean Mint and Crest Gum Detoxify and in NaF-based Colgate® Total Advanced Deep Clean. Pyrophosphates have been utilized widely for clinically proven tartar control, acting in toothpastes via mineral inhibition.126,129 Dentifrices currently incorporating pyrophosphates include the multi-benefit 0.454% SnF2 pastes Colgate® Total Plaque Pro-Release and Parodontax Complete Protection, and the sodium fluoride-based Aquafresh® Ultimate White and Arm & Hammer Complete CareTM dentifrices. The polypyrophosphate sodium hexametaphosphate (e.g., Crest ProHealth Advanced Extra White) also targets plaque calcification and has shown anti-calculus benefits in a dentifrice as high as 55% greater versus a regular dentifrice in clinical investigations.130,131 A small subset of individuals are sensitive to sodium hexametaphosphate; in this instance, another anti-calculus dentifrice with a different agent can be chosen.128






