The Oral Microbiome: A New View of Plaque Biofilm
Course Number: 676
Course Contents
Introduction
Despite the best efforts of dental health professionals, oral infections are still widespread. Nearly 90% of U.S. adults between 20 and 64 have had dental caries, and 1 in 4 adults in that age group have untreated dental caries.16 The most recent National Health and Nutrition Examination Survey (NHANES) gathered probing depth data to measure the prevalence of periodontitis between 2009-2014. Their findings estimated 42% of dentate US adults 30 years or older had periodontitis, with 7.8% having severe periodontitis.17
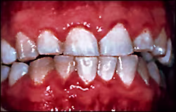
Figure 1. Gingivitis.
There is now universal recognition these oral infections are multifactorial in nature, with a large variety of microbial species residing in intraoral plaque biofilms, with some species being beneficial (commensal) while others being capable of producing disease (pathobionts). The plaque biofilm, unique to the oral cavity, occurs on numerous surfaces such as the cheeks, tongue and teeth and is comprised of a sticky mass of proteins, lipids, glycoproteins, and glycolipids housing oral microbial communities with special chemical and nutritional gradients.3,9
It is also now recognized that these microbes live in a symbiotic or balanced relationship in health and do not cause disease. However, when this homeostatic state is disrupted, oral disease ensues. (Figure 1) Exactly how this symbiotic state is turned into a dysbiotic one is still not clearly understood despite over a century of research.
How dental plaque and its resident microorganisms are viewed has been dictated by the analytical tools available to study it. Historically, dental plaque microorganisms were first identified by the Dutch microbiologist Anton Von Leeuwenhoek and referenced in his letter to the British Royal Society in 1677 as little animalcules.18 Since that time, numerous hypotheses have followed regarding the exact nature of plaque and its role in oral diseases such as caries, gingivitis and periodontitis. Research has been evolving rapidly over the past several decades with the availability of newer scientific methods and technologies enabling better identification of specific microbial species. Results from the more recent Human Microbiome Project,1 funded by the NIH, have provided more specific evidence about these microorganisms and their genomes which are now referred to collectively as the oral microbiome that form the oral ecosystem and will guide newer treatment approaches for plaque control and prevention strategies.
Figure 2. Plaque-dwelling microorganisms.
Oral microorganisms in dental plaque showing typical "corn-cob" structure of bacterium.



