Dental Care for Infants
Course Number: 387
Course Contents
Early Childhood Caries (ECC)
ECC is a severe form of caries that affects infants and young children. ECC is defined as “the presence of more than one decayed (cavitated or non cavitated lesions), missing (due to decay), or filled tooth surface in any primary tooth in a child 71 months or younger.”12 ECC remains prevalent in children of lower socioeconomic class. Preventive strategies and appropriate therapeutic interventions guided by oral health risk assessments should be utilized by the dental professional in order to educate the mother and assist with the prevention and treatment of disease for children at higher risk for developing infections.
It develops in smooth surfaces and progresses rapidly. There is usually a pattern seen in this disease in which affects – maxillary anterior→maxillary and mandibular first primary molars→mandibular canines.12 It can be considered a particularly virulent form of caries.The mandibular incisors are usually unaffected.12
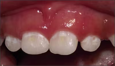
Figure 7. Initial white decalcification of the anterior teeth and incipient caries lesion.
Image courtesy of Norman Tinanoff, DDS, MS.
Children with significant levels of S. mutans, are at a higher risk. It affects the general population but is 32 times more likely to occur in infants who are of low socioeconomic status, who consume diets high in sugar and whose mothers have a low educational level.
Frequent bottle-feeding at night, ad-lib breastfeeding, and extended and repetitive use of sippy/training cups are associated with ECC.
Figure 8. Late or severe form of ECC.
Image courtesy of Dr. LaQuia Vinson.
ECC can have a lasting and detrimental impact on dentition.



