Practical Panoramic Imaging
Course Number: 589
Course Contents
Shoulder–Receptor/X-ray Head Interference Errors
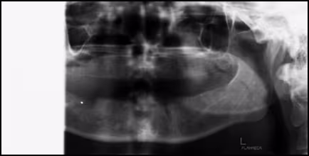
The third category of technical errors in panoramic radiography involves shoulder and receptor contact due to short neck and/or thick shoulder anatomy and lack of clearance between the shoulder and the receptor and/or x-ray head. Contact may result in stoppage or improper machine rotation, patient movement, image artifacts or partial image production.
Figure 68. Shoulder contact on the patient’s right caused the machine to stop resulting in an incomplete or partial image.
Figure 69. Shoulder contact on the patient’s right side caused the patient to move in response.
0/37Next



