Practical Panoramic Imaging
Course Number: 589
Course Contents
Stepwise Approach to Panoramic Technique Assessment
Panoramic errors result in image presentations that may be due to patient preparation, machine preparation, patient positioning, tissue projection, patient movement, shoulder interference or a combination thereof.
Technique Errors
Technique errors can result from difficulties encountered from each of the three stages in panoramic technique:
Patient Preparation
The features of these errors on radiographs are characteristic and are therefore usually readily self-diagnostic.
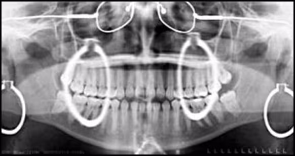
Metallic artifacts – The most common patient preparation error is failure to remove metallic or radiodense objects – This causes two problems:
First, they produce a radiopaque outline of themselves, usually providing a telltale indication of the error.
Second, they may produce so-called “ghost images.” Ghost imaging is a normal component of the panoramic projection and occurs when an object is penetrated twice by the x-ray beam. Structures or objects that are located posterior to (behind) the center of rotation and the x-ray source tend to be ghosted onto the contralateral side of the image. Ghost images have specific recognizable characteristics that are viewable on the panoramic image.
Table 6. Ghost Characteristics.
- The ghost image has the same general shape of the original object but does not produce a mirror image.
- The ghost image appears on the opposite side of the panoramic image compared to the original object.
- The ghost image appears in a higher position on the image than the original object.
- The ghost image appears magnified and unsharp (blurred) more in the vertical plane compared to the original object.
Figure 40. This image illustrates the telltale signs of leaving several metallic objects on the patient – earrings, glasses, and a neck chain. Note the ghosts of the earrings.
An example of this occurring to normal anatomic structures is the angle of the mandible projected to the other side or the two lines of the palate.
Figure 41. Ghost of the Angle of the Mandible.
Lead apron
– The second most common patient preparation error is incorrect placement of the lead apron. This produces a characteristic radiopaque domed or wedge-shaped artifact that also obscures diagnostic information associated with the mandible. Correct positioning of the lead apron involves ensuring that the apron is not placed too high up on the patients back prior to exposure.
Figure 42. Example of lead apron artifacts.
Thyroid collar
– Because of the nature of the projection beam in panoramic radiography, in effect coming up and over the shoulder of the patient, thyroid collars are not to be used. If the thyroid collar is placed on the patient it produces a characteristic appearance bilaterally – a radiopaque cone shaped artifact centrally located which obscures diagnostic information, particularly in the mandible.
Figure 43. Examples of thyroid collar artifact.





