Intraoral Radiographic Anatomy
Course Number: 601
Course Contents
Mandibular Anterior Landmarks
Genial tubercle – The genial tubercle is a spiny protuberance or prominence (sometimes two) of bone located in the midline on the lingual aspect of the mandible below the roots of the incisor teeth (Figure 22 B). This structure serves as the locus of attachment for the genioglossus and geniohyoid muscles. Although variable in appearance, the tubercle often produces a ring-like or doughnut-shaped radiopacity on mandibular incisor periapical images (Figures 22 A&C). The genial tubercle is also referred to as the mental spine.
Figures 22 A,B,C: Genial Tubercle
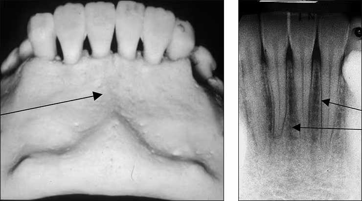
Lingual foramen – The lingual foramen is a small pin-point opening in bone on the lingual aspect of the anterior mandible for the lingual nerve and arteries (Figures 23 A&B). The lingual foramen appears in the midline below the apices of the central incisor teeth. This dot-like radiolucency is frequently surrounded by the genial tubercle. The lingual foramen is recorded on mandibular incisor periapical images.
Figures 23 A&B: Lingual Foramen
Mental fossa – The mental fossa is a depression in the bone on the labial aspect of the anterior mandible (Figure 24 A). It has a diffuse radiolucent appearance above the mental ridge (Figure 24 B). The mental fossa varies in its prominence depending on the thickness and density of the anterior mandible.
Figures 24 A&B: Mental Fossa
Mental ridge – The mental ridge is a prominence of bone on the labial surface of the anterior mandible (Figure 25 B). This structure presents an inverted V-shaped radiopaque ridge that extends from the premolar to canine area on each side meeting in the midline (Figures 25 A&C). The mental ridge varies in its presentation with some individuals displaying very distinct ridge anatomy while others, little or no evidence of its presence. This mandibular landmark can be recorded on incisor and partially on the lateral aspect of canine periapical images.
Figures 25 A,B,C: Mental Ridge





