The 2018 AAP/EFP Classification of Periodontal & Peri-implant Diseases
Course Number: 610
Course Contents
Peri-implant Diseases and Conditions
The 4th and last category in the new Classification system is Peri-implant Diseases and Conditions which are broken down into 4 sections as shown in Table 12. This is the first time that an implant category has been included in a Periodontal Classification System. The first section is the inclusion of Peri-implant Health, representing the absence of disease, thus the absence of any signs of inflammation such as bleeding on probing, redness, swelling and suppuration. With implants, it was not possible to determine what a healthy probing depth range would be, as it is variable dependent upon the amount of tissue support. Implants with reduced bone support can still be healthy.6
Table 12. Peri-implant Diseases and Conditions.
- Peri-implant Health
- Peri-implant Mucositis
- Peri-implantitis
- Peri-implant Hard & Soft Tissue Deficiencies
Peri-implant Mucositis is clinically similar to gingivitis in natural teeth and is characterized by clinical signs of inflammation such as bleeding on probing, possible suppuration, redness and swelling. Typically, there may be an increase in probing depth from the original due to edema resulting from the inflammatory response. There is strong evidence that plaque biofilm is the prime etiological factor in this condition and as well, similar to natural teeth, can resolve once the burden of biofilm is controlled.6
Image Courtesy of Dr. C. Cobb.
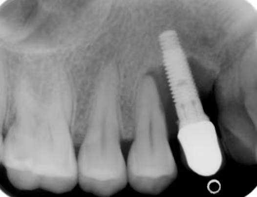
Peri-implantitis is the next step that occurs if peri-implant mucositis is not arrested and is allowed to progress resulting in loss of supportive bone. Peri-implantitis is considered to be a plaque-associated disease, thus plaque control and regular maintenance care are paramount. Risk indicators include a past history of severe periodontitis, poor plaque control, and failure to attend regular maintenance appointments after implant placement. Another factor that has been considered is poor positioning of the implant preventing good plaque removal. Increased probing depths, inflammation, possible recession and radiographic bone loss are used to diagnose this condition. Pocket depths have been noted to be correlated with bone loss and thus are used to determine the severity of the disease. If bone loss becomes extensive, mobility of the implant will occur.
Image Courtesy of Dr. C. Cobb.
Image Courtesy of Dr. C. Cobb.
Hard and Soft Tissue Deficiencies refer to the diminished dimensions of both the alveolar process or ridge following tooth loss as well as the amount of keratinized soft tissue.




