Methamphetamine: Implications for the Dental Team
Course Number: 332
Course Contents
Periodontal Disease
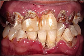
Methamphetamine users have an increased incidence of periodontal disease.70 A study conducted by the University of California noted that 37% of adults aged 35-49 in the US general population have periodontitis whereas 89% of subjects utilizing methamphetamine presented with periodontitis.70 The drug causes vasoconstriction of the vessels that supply blood to the oral tissues. With repeated use of the drug and repeated vasoconstriction, the blood vessels are permanently damaged, and the oral tissues die. Methamphetamine users often exhibit significant inflammation and destruction of the hard and soft tissues of the mouth. The etiology of the destruction is not clearly defined. One theory suggests that the gingival inflammation and destruction is a result of increased monocyte/macrophage production while another researcher determined the disturbances in the brain immune-regulatory systems are introduced by the drug alteration of the immune response.49 In addition, lack of proper daily oral hygiene, plaque removal, and xerostomia further exacerbates the declining periodontal health (Figure 8).69
Figure 8. Declining periodontal health.
Source: doctorspiller.com


