Occlusal Considerations for Implant-Supported Prostheses
Course Number: 699
Occlusion-Driven Strategies for Implant Placement and Restoration
In the past, implant planning was dictated primarily by available bone volume and density. However, over the last two decades, studies have emphasized the importance of prosthetically driven implant planning for achieving a successful outcome.41,42 The current evidence stresses that prosthetic considerations alone are insufficient; it is equally important to understand the occlusal considerations, such as the direction, magnitude, and distribution of the occlusal forces and the presence of occlusal risk factors such as parafunctional habits or cantilevers, as they can significantly affect implant longevity and success.33,43 Therefore, implant planning must integrate anatomic, prosthetic, and biomechanical principles to ensure long-term stability of implant-supported restorations. The following key considerations outline how occlusion-driven principles can be incorporated into implant planning and prosthesis fabrication:
1. Diagnosis and Treatment Planning
During the diagnosis and treatment planning stage, the hard and soft tissues, the available restorative space, the most optimal implant position in relation to the proposed final prosthetic tooth position, and all the occlusal risk factors (parafunctional habits, cantilevers, poor bone quality, temporomandibular joint (TMJ) disorders, and poor patient compliance)25-31 should be thoroughly assessed as they may affect treatment outcomes.44
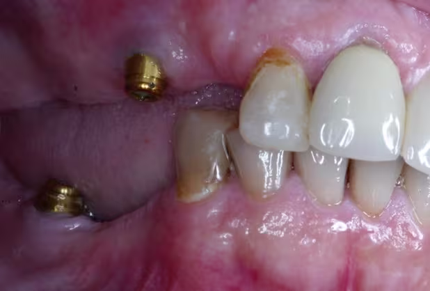
The diameter, length, number, antero-posterior spread, axial inclination, and the location of the implant must be carefully planned, as each factor affects load distribution and long-term outcomes.45 The position of the implant should be optimized in all three dimensions. Placing the implant apically may create unfavorable vertical cantilevers, while buccolingual or mesiodistal mispositioning (Figure 19) can result in lateral cantilevers and uneven load transfer. Comprehensive planning is critical for establishing a stable and biomechanically favorable occlusion.
Figure 19. Suboptimal implant positioning in the vertical and mesiodistal planes.
2. Establishing Proper Occlusal Vertical Dimension (OVD)
Establishment of proper OVD is critical for the most efficient functioning of the masticatory muscles, stability of the temporomandibular joints, and achieving optimal patient comfort.46 Special care is required in patients undergoing extensive/full-mouth rehabilitation, where the OVD needs to be re-established for the patient.47 The proposed new OVD may be tested with an interim restoration allowing the masticatory muscles to adapt, the temporomandibular joint to stabilize, and occlusal relationships to be tested before definitive implant placement.48 Improper OVD may lead to deleterious effects, including muscular dysfunction, joint trauma, and compromised prosthetic outcomes.49 Various techniques may be utilized for determining the OVD, such as Niswonger’s method, phonetic method, swallowing method, or other clinician-preferred techniques.50
3. Recording a Predictable and Repeatable Centric Relation (CR) Position
Maximum intercuspal position (MIP) is a stable and clinically reproducible jaw position that is physiologically acceptable and comfortable for most patients. ,51However, patients who have lost posterior support (Figure 20) and no longer exhibit a stable and reproducible MIP typically require the establishment of a new condyle-fossa relationship.51 In these cases, determining an appropriate condylar position is both necessary and integral to achieving successful outcomes.51 CR is the preferred treatment position in these patients as it represents a physiologic, reproducible, and repeatable mandibular position51 and is crucial for achieving long-term functional stability.52
CR may be obtained through various techniques, including the leaf gauge technique (Figure 21) and Lucia jig (when anterior teeth are present), gothic arch tracing, bimanual manipulation, or chin-point guidance.53
Figure 20. Absence of posterior occlusal support
Figure 21. Leaf gauge used for guiding the mandible in the centric relation (CR) position
4. Use of Interim Prostheses to Evaluate and Refine the Restoration Design and Occlusion
Accurate impressions or digital scans, precise interocclusal records, and a properly executed digital or analog wax-up (Figures 22 & 23) are essential for fabricating a high-quality provisional implant restoration. The interim implant restoration should be designed to promote controlled, evenly distributed contacts and axial loading, in line with the established principles for minimizing occlusal overload.4-6,33,36,37 Additionally, broad interproximal contact areas (Figure 24) should be established between natural teeth and implant restorations to promote long-term occlusal stability.
Figure. 22 Digital Wax-up
Figure 23 (A)
Figure 23 (B)
Figure 23 (C)
Figure. 23 Analog wax-up for fabricating a provisional restoration (A,B) #8 and #9, (C) #8, #9, #22-26.
Figure. 24 Broad interproximal contact area planned between the natural tooth and the implant restoration
Interim restorations function as a “trial prosthesis”, permitting the practitioners to test and refine the planned occlusion before fabricating the definitive restoration.54 Frequent prosthesis fracture, excessive wear, or instability of interim restorations are signs indicative of excessive occlusal forces or occlusal interferences.52 During this stage, it is critical to adjust the premature contacts, eliminate the interferences, and refine the occlusal design to achieve a stable and harmonious occlusion. A provisional prosthesis enables the patient to develop a functionally generated path that can be accurately transferred to the final restoration. It also enhances patient comfort, improves function, and reduces the risk of complications in the definitive prosthesis.52 In addition, it facilitates progressive loading, which promotes favorable force distribution, supports soft tissue conditioning, and contributes to predictable long-term outcomes.55
5. Restorative Material Selection
Restorative material selection should not only be based on the biomechanical properties of the material, but also on the aesthetic and functional needs of the patient, as well as the characteristics of the opposing arch.56 The literature on the influence of the restorative material on the stresses transmitted to the implant and the peri-implant bone remains inconclusive.57
Additionally, it is important to choose a material with low wear values to maintain occlusal stability over time.58 Materials like PMMA have high wear values (~100 µm), whereas zirconia exhibits very low wear values.4 Materials like PMMA should therefore be used as interim restorations.4 For definitive, long-term restorations, high-strength materials that incorporate titanium frameworks with zirconia may be the preferred choice.4 However, zirconia has its own limitations. It requires adequate bulk for strength, proper polishing after adjustments, and re-sintering after excessive adjustments.59
6. Implementing the Planned Design in the Definitive Prostheses
The restoration design and occlusion established with the interim prosthesis must be carefully implemented in the definitive restoration60 through accurate implant-level or abutment-level impressions or digital scans, precise interocclusal records, and digital scans/impressions of the provisional restoration.60 Following the definitive prosthesis fabrication, further refinement may be necessary to ensure harmonious occlusal contacts and to eliminate prematurities or interferences that could compromise long-term success.60 Such adjustments may be performed extraorally through a clinical remount61 (Figure 25) or intraorally using articulating paper, shimstock[A1] [A2] , or digital occlusal analysis tools such as the T-scan (Figures 26 & 27).62
Figure. 25 Clinical remount procedure performed for occlusal refinement.
Figure. 26 T-scan bite fork with sensor placed between the maxillary and mandibular teeth.
Figure. 27 T-Scan measures and displays the timing and intensity (force) of occlusal contacts.
7. Maintenance and Recall
The success of implant-supported restorations is associated with appropriately established maintenance and follow-up regimens.63 Patients must be educated on proper oral hygiene practices to maintain the health of the implant and the surrounding tissues.64 In addition, they should be instructed to monitor for complications such as changes in the bite,65 mobility or fracture of the prosthesis.
Due to the differences in the biomechanical and physiological features of natural teeth and implants, progressive alterations in an established occlusion will occur over the course of time.5,6 Studies have reported that implant restorations may develop occlusal prematurities5,6 and loss of interproximal contacts with time.65,66 Thus, restorations that initially present with proper occlusal and interproximal contacts may later exhibit premature contacts and/or little to no interproximal contact.5,6,55,56
Periodic recall appointments, ideally every six months or more frequently in high-risk patients, are essential.67 Recall appointments allow early identification of premature contacts and occlusal interferences, permitting timely correction and limiting/avoiding excessive stresses on the implants.65 These measures not only preserve peri-implant tissues but also improve the longevity and biomechanical stability of the restoration.












